
Mais de 18 toneladas de frango são apreendidas por suspeita de gripe aviária
Frangos vinham de criador vizinho à cidade com primeiro caso da doença e apresentaram sintomas compatíveis no abate
O ano começou há alguns dias e a conscientização sobre a importância da prevenção e do diagnóstico precoce do câncer de mama é constante. Para as mulheres que não realizaram o exame no ano passado, o melhor há se fazer é marcar agora no começo do ano. Além da mamografia, alguns exames de rotina são super importantes para manter em dia os cuidados com a saúde da mulher.
A mamografia é um exame de captura de imagens da mama, por isso é rápido e não invasivo, sendo uma das principais formas de diagnosticar o câncer de mama precocemente. A Sociedade Brasileira de Mastologia (SBM), o Colégio Brasileiro de Radiologia e Diagnóstico por Imagem (CBR) e a Federação Brasileira das Associações de Ginecologia e Obstetrícia (FEBRASGO) recomendam a mamografia anual para as mulheres a partir dos 40 anos de idade. Já o Ministério da Saúde preconiza o rastreamento bianual a partir dos 50 anos.
Reprodução
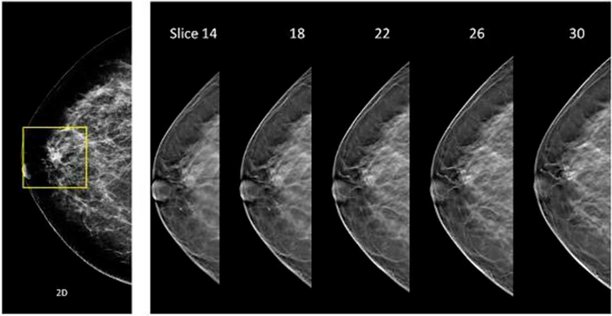
Mamografia mais moderna
A evolução da mamografia tradicional, conhecida como tomossíntese ou mamografia 3D, garante resultados mais precisos e detecção precoce - também em mamas densas, aquelas que são mais difíceis de diagnosticar.
Segundo estudo publicado no Journal of the American Medical Association (Jama) a tomossíntese reduz o número de exames adicionais (falsos positivos) em 15% e aumenta a detecção do câncer de mama invasivo em 41%. A pesquisa foi feita em 2015 por médicos e pesquisadores em 13 hospitais universitários e privados dos EUA que avaliaram a detecção do câncer de mama realizando cerca de de 281 mil mamografias 3D e 174 mil mamografias tradicionais.
No Brasil, a tecnologia é oferecida pela Hologic por meio dos equipamentos Selenia Dimensions e 3Dimensions, que permitem que os médicos examinem o tecido mamário camada por camada. Então, em vez de visualizar a mama em uma imagem única e plana, como na mamografia 2D convencional, é possível ter uma visão mais detalhada e precisa.
“Na mamografia 3D o aparelho gera múltiplas imagens que permitem identificar nódulos com menos de 1cm. Se tiver alguma área suspeita e que não aparecia na mamografia convencional, o exame 3D irá mostrar. Mais de 200 estudos clínicos demonstraram que com o uso desta tecnologia os médicos são capazes de procurar por câncer de mama com muito mais precisão, independentemente da idade ou da densidade das mamas da paciente”, comenta Dra. Vivian Schivartche, médica radiologista especialista no diagnóstico de câncer de mama do CDB Premium.
Frangos vinham de criador vizinho à cidade com primeiro caso da doença e apresentaram sintomas compatíveis no abate
Frangos vinham de criador vizinho à cidade com primeiro caso da doença e apresentaram sintomas compatíveis no abate
O aspartame é um adoçante artificial amplamente utilizado em alimentos sem açúcar e bebidas, incluindo refrigerantes, sucos, chás, chicletes, iogurtes, gelatinas, pães e barras de cereal
O aspartame é um adoçante artificial amplamente utilizado em alimentos sem açúcar e bebidas, incluindo refrigerantes, sucos, chás, chicletes, iogurtes, gelatinas, pães e barras de cereal
Município inicia também cadastro para vacinar gestantes, puérperas, pessoas com comorbidade e com deficiência permanente inscritas no programa de BPC
Município inicia também cadastro para vacinar gestantes, puérperas, pessoas com comorbidade e com deficiência permanente inscritas no programa de BPC
Em março os serviços passarão a atender de modo oficial, quando se comemora o Mês da Mulher
Em março os serviços passarão a atender de modo oficial, quando se comemora o Mês da Mulher
Banco Central confirmou data após dois adiamentos
Banco Central confirmou data após dois adiamentos
Atriz mexicana, de 78 anos, enfrenta quadro de ansiedade severa e suspeita de dano neurológico
Atriz mexicana, de 78 anos, enfrenta quadro de ansiedade severa e suspeita de dano neurológico
A senadora e candidata à presidência pelo MDB utilizou as redes sociais para se manifestar
A senadora e candidata à presidência pelo MDB utilizou as redes sociais para se manifestar
Pesquisa revela que convivência e inteligência emocional são tão importantes quanto habilidades técnicas no mercado atual
Pesquisa revela que convivência e inteligência emocional são tão importantes quanto habilidades técnicas no mercado atual