
Agressão racista contra menina em escola do interior de SP gera indignação
Incidente em Novo Horizonte envolve violência física e verbal contra estudante, com acusações de racismo em ambiente escolar
Especialistas têm alertado para os riscos de uma nova prática usada para emagrecimento, que envolve a ingestão de pílulas contendo ovos de tênia, compradas em mercados clandestinos na dark web. A ideia é que o parasita consuma parte dos alimentos ingeridos pelo hospedeiro, mas essa abordagem é extremamente perigosa e pode levar à morte.
As tênias são parasitas em formato de fita que podem causar doenças graves como a teníase, infecção intestinal, e a cisticercose, que ocorre quando os parasitas se espalham pela corrente sanguínea e atingem o cérebro.
Um caso que ilustra os riscos dessa prática é o de uma jovem americana de 21 anos, identificada como T.E. Ela encontrou anúncios dos comprimidos em redes sociais e comprou uma caixa. Inicialmente, perdeu peso, mas logo começou a sofrer com dores abdominais e observar substâncias retangulares e bege nas fezes, acreditando tratar-se de gordura.
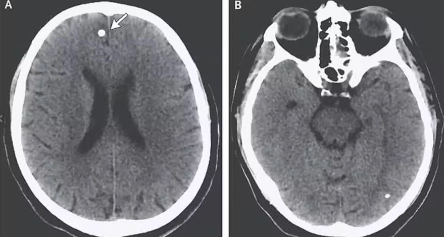
Além dos sintomas intestinais, T.E. relatou sentir algo se movendo dentro da bochecha e descobriu um caroço no queixo. Ao pressionar o local, desmaiou, mas só buscou ajuda médica dias depois, quando a pressão no crânio tornou-se insuportável.
No hospital, exames revelaram que o fluido cefalorraquidiano da paciente estava com pressão elevada, indicando anormalidades. Inicialmente, os médicos suspeitaram de uma infecção viral, liberando T.E. com medicação. Porém, após uma piora nos sintomas e episódios de amnésia, ela retornou ao hospital e revelou ter ingerido as pílulas de ovos de tênia.
Novos exames detectaram lesões no cérebro e a presença de duas espécies de parasita: Taenia saginata, associada a carne bovina, e Taenia solium, que pode ser transmitida por carne suína ou vegetais contaminados. A Taenia solium é capaz de liberar ovos que se disseminam pelo corpo, afetando músculos, cérebro e outras partes.
De acordo com a médica infectologista Liz Ligia Pierrotti, os ovos eclodem, as larvas invadem o intestino e caem na corrente sanguínea, podendo se alojar no sistema nervoso central, nos músculos, olhos ou coração, entre outras regiões.
T.E. foi tratada com esteroides e medicamentos antiparasitários, permanecendo internada por três semanas até a eliminação completa dos ovos do cérebro. Seis meses depois, já não apresentava sintomas, mas seu caso serve como um alerta contra essa prática perigosa.
Incidente em Novo Horizonte envolve violência física e verbal contra estudante, com acusações de racismo em ambiente escolar
Incidente em Novo Horizonte envolve violência física e verbal contra estudante, com acusações de racismo em ambiente escolar
Secretário de Saúde de Minas alerta população: "não é hora de aglomeração"
Secretário de Saúde de Minas alerta população: "não é hora de aglomeração"
Falta de sinalização no acesso de Caeté provoca acidentes e revolta motoristas
Falta de sinalização no acesso de Caeté provoca acidentes e revolta motoristas
As cirurgias serão feitas no Hospital Dr. José Maria Morais beneficiando 200 pessoas; Mais dois mutirões estão programados totalizando quase 700 cirurgias
As cirurgias serão feitas no Hospital Dr. José Maria Morais beneficiando 200 pessoas; Mais dois mutirões estão programados totalizando quase 700 cirurgias
Processo seletivo oferece duas vagas para docentes nas áreas de Matemática e Letras, com salários de até R$ 8 mil
Processo seletivo oferece duas vagas para docentes nas áreas de Matemática e Letras, com salários de até R$ 8 mil
Inscrições para aulas de música e informática acontecem entre os dias 29 e 31 de julho para jovens entre 8 e 18 anos
Inscrições para aulas de música e informática acontecem entre os dias 29 e 31 de julho para jovens entre 8 e 18 anos
Oito quadrilhas se apresentaram em um tablado montado na Praça do Coreto, atrás do Palácio da Cultura, com transmissão ao vivo pela TV ALE e pelo facebook do Governo do Estado
Oito quadrilhas se apresentaram em um tablado montado na Praça do Coreto, atrás do Palácio da Cultura, com transmissão ao vivo pela TV ALE e pelo facebook do Governo do Estado